Dzień dobry, chciałabym się podzielić ostatnio dość mocno nurtującym mnie tematem jakim jest chwyt pisarski u dzieci w wieku przedszkolnym. Jak dobrze wiemy dzieci mają różne chwyty na konkretnych etapach rozwoju. Zdarza się jednak, iż dziecko w wieku 3,4 lat nie jest chętne do kolorowanek, przyjmuje złą pozycję ciała przy tego typu aktywnościach, maluje szybko i nie jest staranne w swoich pracach. Bardzo często poddaje się lub złości. Widocznymi odruchami wśród rodziców jest dokładanie dziecku większej ilości zadań aby ręka była ćwiczona. Często myślimy że to dla dziecka dobry sposób, aby poprawnie wykonywało zadania. Jeśli ktoś z Was zauważa takie problemy u swoich dzieci, warto zapytać w przedszkolu o nauczyciela mającego zrobiony kurs terapii ręki lub fizjoterapeutów, terapeutę integracji sensorycznej, terapeutę ręki, którzy pomogą dobrać odpowiednie ćwiczenia motoryczne . Okazuje się, że motoryka duża oraz mała najczęściej potrzebują wzmocnień, gdyż nasze ręce są ściśle powiązane z obręczą barkową . Meczliwosc rąk i irytacja z tym związana są naturalną barierą i zniechęceniem dla dziecka. Jeśli macie jakieś doświadczenia z tym związane zapraszam do dyskusji, abyśmy mogły dla swoich dzieci znajdywać pomocne rozwiązania. Dzieci widząc u siebie postępy są z siebie dumne i czują się mądre .
Dobry post.
Ostatnio widzialam post na ig jak pani pokazywała które kredki sa do jakego wieku najlepsze - chodzilo o kształt który jest najlepszy do trzymania , ale juz na bank nie odszukam tego ![]()
U mnie corka 2 lata a chwyta długopis czy kredki tak i maluje kółka, kreski mówiąc np ze maluje mleczko dla pieska ![]()
U nas bardzo podobnie mały trzyma długopis i rysuje cokolwiek. Ale też przygląda się jak ja to robię i próbuje trzymać go tak samo
Też w sumie nie patrzyłam jaki długopis czy kredka , co kupiłam to dałam w reke i sobie pisiała po kartkach, teraz myślę kupić jej taka hmmm sztalugę z papierem w rolce i żeby po tym pisała
Na początek jest dobrze dawac dziecku tez wielkie kartki np A3 zeby miało swobodę i takie kredeczki w kształcie gumek do mazania gdzie cała ręką bierze i sobie mazia po kartce , to wg tej pani na ig było na start dla dziecka
Oooo o tych kredkach na start mówiła
Syn lubil kolorowac i mial ten pierwszy cylindryczny chwyt.
Gdzies przeczytalam dosc fajny artykul zeby zbyt wczesnie nie zmusza dziecka do poprawnego chwytu, i pisania bo dlon 3 latka rozni sie diametralnie od dloni 6 latka.
I mega sie ciesze ze o tym przeczytalam bo syn skonczyl w czerwcu 5 lat i poszedl do grupy starszakow gdzie ma juz podrecznik pierwszy oraz poznaje litery.
Jedna z nauczycielek jest po terapii ręki i wlasnie powiedziała ze teraz( dla niektorych to dopieeeero) to bedzie czas na przystosowanie dzieci do poprawnego chwytania kredek i dlugopisow i zeby sie nastawic ze dzieci moga byc sfrustrowane bo nie idzie im tak ladnie i latwo jak przy tym " małpim chwycie" .
I faktycznie, syn sie denerwowal i mowil: maaamo zobacz jak brzydko teraz !
Ale cwiczenia dzialaja cuda i jest coraz lepiej ![]()
Ciesze sie tez ze przeczytalam tamten artykuł ( postaram sie go odnalezc i wkleic tu) poniewaz mialam wrazenie ze wszystkie 4 latki juz zaczynaja pisac i w ogole a moj syn jest w tyle…
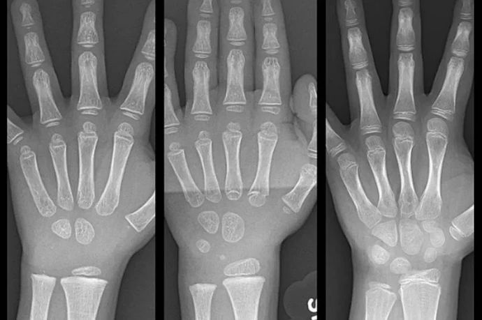
Przepieknie pokazuje to zdjecie rentgenowskie dloni ![]()
Tak bardzo dobry artykuł. Stad mam taka matę z literkami i cyferkami do zabawy i na tym sie uczy , sama jej nie dyktuję zeby co kolwiek pisala , chyba że chce malować to wyciągam jej kredki ale szybko sie nudzi
Nie no malowanie i kolorowanie w tym wieku to super sprawa , a zaraz dojdzie plastelina i wyklejanie ![]()
Ja juz mowie o typową gonitwą w przedszkolach i wsrod matek na pisanie liter i cyferek - troche mnie to przerastalo bo mialam wrazenie ze jedna taka mama to zaraz mi powie ze jej 6latka to juz pisze wiersze ![]()
I nas też tak jest. Mały ma taką wielką matę wodna i rysuje tam pędzlem, takim specjalnym mazakiem, patyczkami do uszu i w zasadzie wszystkim co maluje ale to jest na max 5 min później mu się nudzi
A plastelina to juz się bawi , formuje , rolujemy ślimaki serca malpki, dzis mi panele powyklejala i weszla w to bucikami ![]()
![]()
![]()
Nienawidzę plasteliny
syn ma plasteline i ciastoline modeline czy inne badziewie i szczerze - ja z nim robilam cos 3 razy w zyciu
ma nawet taka maszynke z PlayDoh ![]()
Plastelina jesy wszedzie ( omijamy pokoj syna bo tylko tam jest dywan) wiec robimy to w salonie a tam są dlugowlose koty
wyjmowanie kawaleczkow plasteliny jest dla mnie frustrujące a dla nich bolesne. Na szczescie duzo robi z plasteliny w przedszkolu ![]()
Kupiłam jej podkładkę w misie ale coś Ty , podkladka może leżeć na stole czysta haha lepsze lozko czy wlansie panele ![]()
Paznokcie obcinałam dziś bo az czarne od tego pieroństwa .
A używacie dla dzieci markerów do wanny? Dziecko tez może pisać i ćwiczyć w ten sposób ale po wannie bo sa zmywalne ale czy to dobry pomysł?
No właśnie widziałam dzisiaj nawet na Facebooku mannoline z kaszy manny. Nie pamiętam proporcji ale pamiętam że trzeba do kasy manny wlać ciepłą ale nie gorąca wodę i się formuje jak plastelinę a jest lepsza bo plastelina jak się nagrzeje to wiemy co się dzieje ![]()
a mannolina tego nie robi i można dodać barwniki spożywcze
Właśnie też się zastanawiałam nad tym w zeszłym tygodniu ale przemyślałam że chyba nie chce mi się tego codziennie myć i boję się że to nie tylko wanna w tym będzie
No pytam dlatego bo też glupia ja kupiłam pisaki do pisania po szybach - nie polecam - pomalowałam szyby w serca, kotki i dałam Oli zeby sobie pisala od razu nie zmylam tego / zmylam po miesiącu/ i teraz po zmyciu widac co bylo malowane sa ślady ![]()
Dobry wpis - poruszony ważny temat!
To co najważniejsze to praca nie nad samą motoryką małą, a właśnie praca z całym ciałem. Te trudności często wynikają z nieprawidłowego napięcia mięśniowego. Poprawa pozycji do rysowania/posania już dużo zmienia. Zdecydowanie trzeba spojrzeć na dziecko całościowo.
Jasne, są odpowiednie kredki, wspierające prawidłowych chwyt i super! Ale jeśli dziecko ma trudności, żeby prawdłowo usiąśc to nie bedzie trzymało dobrze nawet specjalnej kredki.
Bardzo ciekawy wpis. Tak samo ten, który udostępniła @Mamina o zbyt wczesnym przymuszaniu dziecka do pisania etc. Mam wrażenie, że właśnie ostatnio robi się jakaś nagonka na to, które dziecko zrobi coś szybciej. Niedługo noworodkom będziemy wkładać długopisy w rękę ![]()
Bardzo ciekawy wpis
Różne chwyty u maluchów są normalne, ale jeśli dziecko przy rysowaniu nam się szybko denerwuje to zwykle trzeba postawić na wzmocnienie małych łapek i wplatać fajne zabawy typu plastelina ![]()
To bardzo ważny i często pomijany temat W przedszkolu naprawdę często widać różnice w tempie rozwoju motoryki małej chwytu pisarskiego oraz w ogólnej gotowości do zadań stolikowych. I masz absolutną rację: niechęć do kolorowania, szybkie męczenie się rąk, „zła” pozycja ciała czy frustracja nie wynikają zwykle z lenistwa czy braku chęci tylko z realnych trudności motorycznych lub napięciowych
Ładnie trzyma

